目次
審美歯科とは

歯並びや歯の形、大きさ、色、そして唇やあごの角度など、口元全てに関わる美しさやバランスを整え、エステティックな観点から治療を行います。美しさにこだわって、総合的に歯の治療をすることができます。口元を整えることで、お顔全体の雰囲気がイキイキとしてきます。
作業フロー
- STEP1:初診・カウンセリング

- 問診を行い、様々なご要望や、困っていることなどをお聞きします。必要に応じて、レントゲン撮影などの治療に必要な検査を行います。
- STEP2:診断・治療計画

- 診断の結果を元に、インプラントによる治療が可能かどうか検討し、どのように治療を行っていくか、治療計画に沿って詳しく説明をします。治療にかかる期間や費用などについてもご説明いたします。
- STEP3:治療

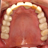
- プラタナス会独自のノウハウと技術を用いて、患者さん一人ひとりに合わせたものを医院内部の技工所で作製しています。治療内容は、セラミックの冠を被せる治療方法や、薄く歯の表面を削り、セラミックを貼り付けて白くする方法など、治療内容は要望に応じて多岐にわたります。
- STEP4:治療の終了

- セラミックの冠を被せることにより より自然な形態・色調に回復することができました。金属を使わないので歯肉のメラニン変色が起こりません。また、金属アレルギーの方も安心して治療を受けていただけます。
- STEP5:メンテナンス

- 治療した歯を、健康で長く維持していただくために、定期的な検診をおすすめしています。
費用について

![]()
![]()
![]()

![]()
![]()
