目次
ホワイトニングとは

着色や変色してしまった歯の表面を漂泊する治療方法です。歯を削ったり、歯に被せものなどをすることなく、清潔感のある白い歯を手に入れることができます。ホワイトニングには、医院で行うオフィスブリーチングと、自宅で行うホームブリーチングの2つのタイプがあります。
作業フロー
- STEP1:カウンセリング

- 問診を行い、お口の中をチェックしたり、現在の歯の色を検査します。また、ご要望や悩みなどをお聞きし、治療方法を提案させていただきます。当院ではリーズナブルコースとナチュラルコースの2つのコースをご用意しております。
- STEP2:ブリーチング

- ホワイトニングを実施します。当院では、アメリカ製のBeyond Whitening Acceleratorを使用しており、短時間で、安全に、白い歯を手に入れることができます。
- STEP3:ホームブリーチングの準備

- ホームブリーチングは、患者様自身が自宅で行うホワイトニングです。医院でのブリーチングと併用することで、より効果的に歯を白くすることができます。ホームブリーチングを行うトレーを作成するために歯型をとります。
- STEP4:ホームブリーチングの指導

- 完成したトレーに、薬剤を入れて、歯に装着するのがホームブリーチング。安心してご自宅でご利用頂けるよう、指導させていただきます。
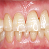
- STEP5:ホワイトニングの終了

- 約1週間の治療で、褐色の歯が、清潔感のある白い歯になりました。
費用について
【オフィスブリーチング】
ナチュラルコース 39,800円(税別)
一回の治療時間は約40~60分です。
(※上記の金額に加え、10%の消費税がかかります)
【ホームブリーチング】
治療費 11,000円~(税別)
カスタムトレー・一週間分のジェル付です。
